

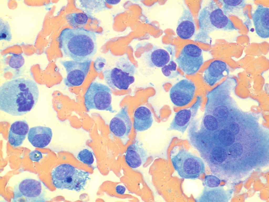
Paciente canino de la raza doberman, macho castrado de 14 meses de edad. Se presenta en consulta después de una cojera intermitente con apoyo de peso, del miembro anterior izquierdo. Presenta dolor y algo de inflamación de consistencia dura en la zona de su radio distal. El dueño ha probado 5 días de carprofeno sin que el perro parezca mejorar su sintomatología por lo que se realizan radiografías de la lesión (FOTO) y posteriormente una punción con aguja de 18G bajo sedación de la lesión ósea (FOTO)
¿Con la anamnesis, tipo de lesión ósea y citología, cual es el diagnóstico de este paciente?
a. Sarcoma sinovial
b. Sarcoma histiocítico
c. Condrosarcoma
d. Osteosarcoma
e. Infección con evidencia de reacción osteoclástica