Ingresa un canino de raza chihuahueño de 2 años de edad con depresión marcada, convulsiones generalizadas severas, desvío de cuerpo y cabeza hacia el lado izquierdo (pleurototono izquierdo). Tetra ataxia y tetraparesia no ambulatoria progresiva rápida. Se observa disfunción propioceptiva conciente de las 4 extremidades con predominio derecho (ausencia de respuesta a la de situación de las extremidades). Adicionalmente, el paciente posee hiper reflexia flexora de miembros torácico y pélvico derecho, con incluso tendencia a la rigidez de esos miembros. Al evaluar signos de cabeza, se puede observar parálisis del facial del lado izquierdo y del hipogloso del lado izquierdo.



Video de evaluación de nervios craneanos evidenciando la parálisis facial derecha:
Se le realiza un hemograma y perfil bioquímico, mostrando en éstos leucocitosis neutrofílica y VHS (velocidad de eritrosedimentacion) de 30 mm/h. La evaluación del fluido cerebro espinal manifiesta hiper proteinoraquia (presencia de globulinas), y pleocitosis (aumento del conteo celular) neutrofílica y mononuclear (linfocitos y monocitos). PCR de distemper negativos (sangre y fluido cerebro espinal).
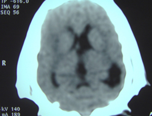
Sarita comienza a presentar signos de incremento de la presión intracraneana (PIC) en forma progresiva. Se le realiza una tomografía cerebral de urgencia observando presencia de hidrocefalia asimétrica marcada y presencia de zonas hiperdensas asimétricas en materia blanca de corteza cerebral.


La presión intracraneana no responde a tratamiento médico.
¿Cuál sería su principal prediagnóstico? (Marca la respuesta correcta para ver la siguiente pregunta)
a) Neoplasia cortical
b) Meningoencefalitis no infecciosa
c) TEC no informado
d) Hidrocefalia primaria
e) Accidente cerebro vascular