Introducción
El conducto arterioso es un vaso sanguíneo muscular que se origina embriológicamente a partir del 6º arco aórtico y que va desde la bifurcación de la arteria pulmonar hasta la cara ventral de la aorta descendente. Durante la gestación el feto recibe el aporte de oxígeno a través de la placenta, los pulmones permanecen colapsados y la mayor parte de sangre que circula por el ventrículo derecho se desvía directamente hacia la aorta descendente a través del conducto.
En el momento del nacimiento se produce un incremento en la presión de oxígeno, se expanden los pulmones y disminuye la resistencia vascular pulmonar. En pacientes normales, el aumento en la presión de oxígeno estimula la contracción de la musculatura lisa de la pared del conducto y se produce el cierre del mismo. Con el paso de las semanas esta musculatura se transforma en tejido fibroso quedando únicamente un ligamento arterioso. Debido a diferentes grados de hipoplasia del músculo liso, en algunos casos no se cierra correctamente y tenemos un conducto arterioso persistente (CAP).
El CAP es una de las cardiomiopatías que con mayor frecuencia se diagnostican entre la población canina. Las razas predispuestas a padecerla son entre otras el yorkshire terrier, labrador, border collie, cocker spaniel, collie, pastor alemán, setter irlandés, pomerania, chihuahua,… La incidencia en hembras respecto a machos es de 2:1 – 3:1.
Patofisiología
Debido a la diferencia de presiones existente entre la circulación sistémica y la pulmonar, la presencia de un CAP permite el paso de sangre desde la aorta hacia la arteria pulmonar (Figura 1). El volumen de sangre que circula a través de la comunicación provoca una sobrecarga en el lado izquierdo del corazón con la consiguiente dilatación de la aurícula y el ventrículo. Si el defecto es de gran tamaño y la resistencia pulmonar normal podemos tener insuficiencia cardiaca congestiva con edema pulmonar. La hiperperfusión pulmonar puede aumentar excesivamente la resistencia vascular pulmonar y con el tiempo se puede desarrollar un cuadro de hipertensión pulmonar, una compensación de las presiones entre el lado derecho e izquierdo, y una reversión del flujo de sangre (CAP revertido) permitiendo el paso de sangre no oxigenada hacia la circulación sistémica.
Diagnóstico
1.- Historia clínica:
La malformación se diagnostica tras un examen rutinario en los primeros meses de vida. Se suele detectar un soplo continuo que se ausculta con mayor intensidad en la región axilar del lado izquierdo del tórax y es más intenso en sístole. Si la frecuencia cardiaca es baja puede no oírse en telediástole. Se puede palpar un thrill continuo craneodorsalmente a la base cardiaca. Los cachorros con CAP no suelen mostrar signos clínicos mientras se mantenga la resistencia vascular pulmonar dentro de la normalidad. En caso de presentar síntomas el más habitual es la disnea.
En los casos de CAP revertido no se ausculta ningún soplo pero es habitual detectar una «cianosis diferencial» (color rosado de las mucosas craneales junto a una cianosis evidente de las mucosas caudales) ya que el flujo de sangre no oxigenada entra en la aorta descendente posteriormente al origen del tronco braquiocefálico y las arterias subclavias izquierdas y se dirige hacia la región caudal del organismo. En estos pacientes los síntomas son más evidentes y consisten en taquipnea, anorexia, tos, disnea, colapso, síncopes, debilidad del tercio posterior durante el ejercicio,…
2.- Pruebas complementarias:
Las pruebas de laboratorio suelen ser normales, pero cuando se trata de un CAP revertido aparece hipoxemia (Pparcial de O2 < 40 mmHg) y se origina una marcada hipoperfusión renal que provoca un estado de policitemia (hematocrito > 65%).
En las radiografías se observa aumento en el tamaño del lado izquierdo del corazón por la sobrecarga pulmonar. En caso de fallo congestivo podemos tener un incremento en el diámetro de las venas pulmonares y edema. También hay un aumento en el tamaño del tronco pulmonar y un exceso de perfusión pulmonar. En la proyección dorso-ventral podemos ver la protrusión aneurísmica en la aorta descendente. En los CAP revertidos, debido al aumento en la resistencia vascular pulmonar, se incrementa el tamaño del ventrículo derecho y se reduce la perfusión pulmonar a nivel periférico (Figura 2).
En el ECG se puede detectar ondas P mitral, un mayor voltaje de la onda R y la onda Q en las derivaciones II, III y aVF.
La ecocardiografía resulta de gran utilidad para confirmar el diagnóstico y descartar otras anomalías. Debido al recorrido que sigue el flujo de sangre hay sobrecarga de volumen en la arteria pulmonar y en el lado izquierdo del corazón. Esta sobrecarga de volumen comporta que en ocasiones se observe desplazamiento del tabique interauricular y del septo interventricular hacia la derecha. La fracción de acortamiento suele mantenerse dentro de los valores normales. La arteria pulmonar aumenta su diámetro tanto en el tronco como en las ramas principales.

Figura 1. Ecocardiografía en modo Doppler color. Se observa un flujo turbulento que se origina cerca de la bifurcación de la arteria pulmonar y se dirige hacia la válvula pulmonar.
Al realizar el estudio del tronco pulmonar con Doppler color se observa un flujo de aliasing que se origina cerca de la bifurcación y que choca contra la válvula pulmonar. En el Doppler espectral aparece un flujo continuo. El gradiente de presión del flujo que discurre a través del CAP debe ser aproximadamente de 100 mmHg, lo que equivale a un pico de velocidad del jet de unos 5 m/s. Si ya se ha instaurado hipertensión pulmonar, este gradiente puede ser menor. Es habitual detectar un incremento en la velocidad del flujo aórtico por el aumento en la precarga, por lo que debemos descartar un CAP en los casos en que se detecte aumento de velocidad en el tracto de salida del ventrículo izquierdo en ausencia de estenosis aórtica.
En un paciente con CAP revertido desde hace tiempo se observa hipertrofia del ventrículo derecho y dilatación de la arteria pulmonar. La aurícula derecha suele ser de tamaño normal excepto si existe insuficiencia en la válvula tricúspide y el lado izquierdo es de menor tamaño debido a la reducción en la precarga.

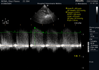
Figura 2. El Doppler espectral aplicado sobre el tracto de salida del ventrículo derecho muestra la presencia de un flujo de regurgitación diastólico de 4.83 m/s.
Para diferenciar el CAP de una hipertensión pulmonar primaria o de un tromboembolismo pulmonar es necesario realizar un estudio ecocardiográfico de contraste inyectando suero salino fisiológico por la vena cefálica y ver cómo las burbujas pasan desde el lado derecho hacia la aorta descendente sin pasar por el lado izquierdo del corazón. Esta prueba también sirve para descartar una comunicación derecha-izquierda intracardiaca (síndrome de Eisenmenger).
La cateterización y la angiografía son dos técnicas que nos pueden ayudar a diferenciar el CAP de otras patologías congénitas como la ventana aortico-pulmonar, shunts anómalos entre la circulación sistémica y pulmonar, estenosis de una rama de la arteria pulmonar, defectos del septo interventricular con regurgitación aórtica, o estenosis pulmonar con regurgitación de la pulmonar.
Tratamiento:
1.- Médico:
A diferencia de lo que ocurre en humana, en veterinaria los anti-inflamatorios no esteroideos no consiguen cerrar el conducto arterioso ya que éste carece de suficiente musculatura lisa para tal efecto. En los casos donde ya se ha instaurado un fallo cardiaco congestivo podemos administrar furosemida, IECA, digoxina,… con el fin de reducir al máximo las complicaciones asociadas a la persistencia del conducto arterioso. En presencia de un CAP revertido, al no estar indicada la cirugía, sólo podemos controlar al paciente realizando flebotomías o bien administrando hidroxiurea a dosis de 30 mg/kg/d durante 7-10 días y posteriormente a mitad de dosis cada 24 horas con el fin de provocar mielosupresión y reducir el hematocrito por debajo del 65%. Es importante realizar hemogramas cada 7-14 días y el tratamiento debe interrumpirse si aparece leucopenia, trombocitopenia o anemia.
2.- Quirúrgico:
2.1.- Ligadura del CAP:
Esta técnica debe realizarse entre las 8 y 16 semanas de edad. El pronóstico es excelente y la tasa de mortalidad es inferior al 2 %. No debe realizarse en pacientes con fallo cardiaco congestivo. De ser así la cirugía debe posponerse hasta que el paciente se haya estabilizado con tratamiento médico. Tras la cirugía el paciente debe permanecer hospitalizado entre 3 y 5 días y recibir la antibioterapia oportuna.
2.2.- Cierre transcutáneo:
Esta técnica consiste en la oclusión del CAP mediante la utilización de instrumentos (coils, Amplatzer, Nitocclud coils, …) que favorecen la formación de trombos o que ocluyen por si mismos el conducto interrumpiendo el flujo de sangre. Los principales factores que condicionan el éxito de la técnica, y que en cierto modo están asociados con el grado de experiencia del cirujano, son la medición exacta del tamaño del ductus y la correcta elección del tamaño y modelo del coil. A veces queda un flujo residual pero que no es hemodinámicamente significativo.
2.3.- Toracoscopia y cierre con hemoclips
En los pocos casos descritos se ha visto que la oclusión de un CAP mediante un abordaje mínimamente invasivo como la toracoscopia junto a la utilización de hemoclips de titanio es una técnica segura y factible en perros.
Pronóstico
El 64% de los pacientes con CAP fallecen durante el primer año de vida si no reciben tratamiento quirúrgico. Las complicaciones más habituales son la presencia de regurgitación mitral y edema pulmonar por fallo congestivo del ventrículo izquierdo, fibrilación atrial por dilatación de la aurícula izquierda, e hipertensión pulmonar secundaria a la sobrecarga de volumen del lado izquierdo del corazón. Los casos de CAP revertido suelen vivir entre 2 y 5 años siempre y cuando tengan una vida tranquila y se controle el hematocrito por debajo del 65%.
Bibliografía
– Bonagura JD, Lehmkuhl LB: Congenital Heart Disease. En: Fox PR, Sisson D, Moïse NS (eds): Textbook of Canine and Feline Cardiology 2nd Ed, WB Saunders, 1999; 505-512.
– Abbott JA: Patent Ductus Arteriosus. En: Abbott JA: Small Animal Cardiology Secrets, Philadelphia, Hanley & Belfus, 2000; 292-299.
– Kittleson MD: Persistencia del conducto arterioso. En: Kittleson MD, Kienle RD (eds): Medicina Cardiovascular de Pequeños Animales 2nd Ed, Barcelona, Multimedica, 2000 edición española; 218-230.
– Boon JA: Manual of Veterinary Echocardiography, Philadelphia, Lippincott Williams & Wilkins, 1998; 418-424.
– Moore KW, Stepien RL: Hydroxyurea for Treatment of Polycythemia Secondary to Right-to Left Shunting Patent Ductus Arteriosus in 4 Dogs. J Vet Intern Med 15[4], Jul-Aug 2001; 418-421.
– Orton EC, McCracken TO: Small Animal Thoracic Surgery, Malvern, Williams & Wilkins, 1994; 203-207.
– Martin M: PDA occlusion: practical experiences with coils, occluders, etc. Proceeding 14th ECVIM-CA Congress – Barcelona 2004; 33-34.
– Borenstein N, Behr L, Chetboul V et al.: Minimally invasive patent ductus arteriosus occlusion in 5 dogs. Vet Surg 33[4], Jul-Aug 2004; 309-13.
– Van Israel N, Dukes-McEwan J, French AT: Long-term follow-up of dogs with patent ductus arteriosus. J Small Anim Pract 44[11], Nov 2003; 480-90.
Autores
Laín García Guasch*, Jordi Manubens Grau*, Roberto Gaztañaga Eguskiza*, Rodrigo Morais Paiva*
* Hospital Veterinari Molins; Pol. Ind. Molí dels Frares, B-27, 08620 Sant Vicenç dels Horts, Barcelona. vetmolins@yahoo.es
Fuente: Mevepa.cl