EL SENTIDO DEL EQUILIBRIO: Conceptos introductorios
La locomoción es una función básica en los organismos heterótrofos superiores. El hecho de tener que desplazarse para conseguir el alimento justifica ampliamente esta necesidad. Esto, a su vez, condiciona otras situaciones relacionadas, como la huída de enemigos naturales o las migraciones en busca de mejores condiciones climáticas.
Todos los seres vivos están inmersos en un ambiente físico y es por ello que, si se mueven, deben ser capaces de orientarse. En los organismos sésiles, como una tenia fijada al intestino de su hospedador, el simple contacto con el medio resulta suficiente. Pero en los organismos más activos las relaciones con su ambiente son cambiantes y necesitan de sistemas de orientación más eficaces.
Esta necesidad surge muy abajo en la escala filogenética y ya que se aprecia, por ejemplo, en los celenterados. Como regla general, cuanto más activo es un organismo, más le es necesario obtener información puntual acerca de determinados aspectos de la estación y el movimiento; toda esa información es la base para una modalidad sensorial especial: el equilibrio.
Los estímulos propioceptivos originados en la intimidad del sistema locomotor son una fuente importante de información. De igual modo contribuyen los estímulos cutáneos y visuales. Sin embargo, todos ellos en conjunto no aportan suficiente información. Es por ello que la mayoría de los organismos han desarrollado mecanismos especialmente adaptados a captar las variaciones de la orientación espacial e informar al SNC para lograr los ajustes necesarios.
Estos dispositivos pueden dividirse globalmente en dos variantes: los estatocistos y los canales.
El estatocisto consiste en una pequeña vesícula llena de líquido; en un segmento de su pared existe una capa de células sensitivas (mácula) portadoras de prolongaciones sobre las que descansan pequeñas concreciones minerales aglutinadas en un material gelatinoso (Figura 1).

Figura 1: Complejo estatocisto-mácula, especializado para percibir la fuerza de gravedad y la aceleración lineal.
Cuando el estatocisto se inclina, los pequeños cristales pesan sobre los cilios y los desplazan, lo que se transduce en un impulso nervioso. Este mecanismo es sensible a la velocidad y a la aceleración lineal; como es estimulado por la fuerza de gravedad se trata de un gravirreceptor. Dada su eficiencia, los estatocitos están presentes en la mayoría de los philla de metazoarios. En los vertebrados se presentan bajo la forma de un órgano otolítico, dividido en dos cámaras (el utrículo y el sáculo) que poseen cada una de ellas una agrupación de células receptoras formando una mácula. En el curso de la evolución este órgano originó una cavidad que se ha convertido en el órgano de la audición, la cóclea. Todo el conjunto forma una figura geométrica compleja que los primeros anatomistas (posiblemente debido a su perplejidad) denominaron laberinto; como todo esto está encerrado por membranas, la estructura completa se denominó laberinto membranoso (Figura 2).

Figura 2: Corte sagital esquemático del hueso petroso del temporal mostrando el laberinto óseo y el membranoso.
El canal es un dispositivo de forma tubular. También se encuentra lleno de líquido y posee células sensitivas en su pared. En este caso, las prolongaciones de las mismas se proyectan al lumen dentro de un material gelatinoso constituyendo una cresta (Figura 3).

Figura 3: Complejo canal-cresta, especializado para percibir la aceleración lineal de los movimientos.
Cuando el líquido circula, la cresta se desplaza y esto origina una descarga de impulsos. Básicamente se trata de un receptor adaptado a captar la aceleración rotacional. Es un órgano característico y constante de los vertebrados en los que se denomina, debido a su forma, canales semicirculares.
El sistema vestibular y otros sistemas que contribuyen al equilibrio se desarrollaron durante millones de años para adaptarse en función de mantener una posición corporal estable contra las condiciones normales de gravedad de la tierra. Muchos síndromes vestibulares de comienzo agudo provocan un grado de desorientación gravitacional y dinámica tan intensos que los animales pierden por completo la relación entre distintos aspectos de su posición corporal y de sus movimientos con el ambiente. En este sentido, es interesante conocer la experiencia sobre el efecto de la ausencia de gravedad sobre el sentido del equilibrio que provoca, por ejemplo, un viaje espacial. El doctor Joseph Kerwin, que estuvo en el Skylab 2 en 1973 como el primer médico astronauta de los Estados Unidos en el espacio, describe la experiencia de la siguiente forma:
«(…) Diría que no existía el sentido vestibular de estar derecho. Ciertamente, no tenía ni idea de dónde estaba la Tierra en ningún momento, a menos que la estuviera mirando. No tenía ni idea de la relación entre un compartimiento de la nave espacial y otro en términos de saber si estaba «arriba o abajo». (…) Lo que uno cree que está arriba, está arriba. (…) Después de unos días de acostumbrarse a esto, jugaba con ello todo el tiempo. (…) Es un sentimiento maravilloso de poder sobre el espacio que le rodea a uno. Y ahora el cuerpo es como todo un planeta para él mismo, y uno realmente no sabe dónde se encuentra el mundo externo.»
Por desgracia, las patologías vestibulares están muy lejanas de provocar esta sensación placentera ya que, sumado a la desorientación gravitacional en un ambiente donde sí existen condiciones normales de gravedad y que provoca entonces alteraciones de la postura y de la marcha, se suma la sensación de vértigo, es decir, una ilusión de movimiento de la cabeza, que produce a su vez movimientos anormales e incontrolables de los ojos.
CONSIDERACIONES ANATÓMICAS Y FISIOPATOLÓGICAS DEL SISTEMA VESTIBULAR
La función del sistema vestibular (SV) es transducir las fuerzas de gravedad y movimiento en señales neurológicas que el cerebro utiliza para conocer la posición de la cabeza en el espacio, y para coordinar sus movimientos con los reflejos motores responsables de la postura, y de la estabilidad de los ojos. Debido a sus funciones, las lesiones en el SV resultan habitualmente en posiciones anormales de la cabeza y del cuerpo, alteraciones de la marcha y movimientos oculares anormales.
Los componentes funcionales del SV están constituidos por una porción periférica, situada en el oído interno, y una porción central, localizada en el tronco encefálico y el cerebelo.
El laberinto membranoso y la porción vestibular del VIII nervio craneano (vestíbulococlear) forman las estructuras vestibulares periféricas. El laberinto membranoso consiste en una serie de tubitos repletos de líquido y un conjunto de cámaras constituidos por la cóclea, involucrada en la audición; y el utrículo, el sáculo y los canales semicirculares, involucrados en las funciones vestibulares. Todas estas estructuras se encuentran encerradas en la porción petrosa del hueso temporal, en estrecha relación al VII par craneano y a las fibras simpáticas encargadas de la inervación del ojo. El sáculo y el utrículo son primariamente responsables de la detección de la gravedad y la aceleración lineal, mientras que los canales semicirculares detectan fuerzas rotacionales.
La porción vestibular del VIII nervio craneano establece relevos sinápticos con los núcleos vestibulares situados en la médula oblonga, y con neuronas localizadas en la porción rostral del cerebelo. Los núcleos vestibulares se conectan por medio del fascículo longitudinal medial con los núcleos del III, IV y VI nervios craneanos, consiguiendo por medio de esta conexión el control de los movimientos oculares. Este sistema contribuye en los movimientos conjugados de los ojos cuando la cabeza se mueve. Los núcleos vestibulares también están conectados por medio de vías descendentes con neuronas de la médula espinal que proveen tono a los músculos del cuello, del tronco y de los miembros, oponiéndose a las fuerzas de gravedad para mantener una postura vertical (Figura 4).

Figura 4: Divisiones del complejo nuclear vestibular y sus conexiones eferentes hacia distintas partes del encéfalo.
Algunos axones conectan los núcleos vestibulares con neuronas pertenecientes a la formación reticular donde establecen relaciones sinápticas, por ejemplo, con el centro del vómito. Estas conexiones explican las náuseas y vómitos asociadas con el mareo.
Un pequeño número de fibras ascienden desde los núcleos vestibulares para finalizar en una pequeña parte del núcleo posterior ventral del tálamo. Desde aquí se proyectan hacia una pequeña región cortical dentro del área correspondiente a la cara, de la corteza somatosensitiva. Es atractivo suponer que esta corteza vestibular interviene en la percepción consciente del equilibrio y del movimiento que se produce a partir de la información vestibular.
2.1. El utrículo y el sáculo: detección de la gravedad y la aceleración lineal
En el interior del sáculo y del utrículo se encuentra un área sensorial denominada mácula, que contiene células ciliadas especializadas cuya función es generar impulsos nerviosos involucrados en la función vestibular. Las cilias se proyectan sobre una sustancia gelatinosa que contiene cristales de carbonato de calcio denominados estatoconias u otolitos. El sáculo está orientado en una posición vertical, mientras que el utrículo está dispuesto en posición horizontal.
En condiciones de reposo, las fibras nerviosas provenientes de las células ciliadas transmiten continuamente impulsos a una frecuencia constante. Cuando cambia la orientación de la cabeza, el peso de los otolitos inclina las cilias, y de este modo los impulsos nerviosos se ven alterados. Cuando las cilias se inclinan en una dirección, la frecuencia de descarga de impulsos nerviosos se incrementa, mientras que si la inclinación se produce en la dirección opuesta, la frecuencia de descarga disminuye. En cada mácula hay diferentes células ciliadas orientadas en distintas direcciones, de modo que existen diferentes patrones de estimulación de acuerdo a las distintas posiciones que asume la cabeza. Los patrones específicos de estimulación informan al cerebro acerca de su posición con respecto a la gravedad.
Las neuronas vestibulares del tronco encefálico utilizan los impulsos nerviosos para contribuir al mantenimiento de la postura normal vertical. Por ejemplo, cuando la cabeza se encuentra en posición horizontal, los impulsos provenientes de cada lado son idénticos. Cuando la cabeza tuerce hacia la izquierda, las células ciliadas del oído izquierdo son estimuladas y las del oído derecho son inhibidas. Estos impulsos estimulan las vías vestíbuloespinales que activan los músculos antigravitatorios del lado izquierdo del tronco y de los miembros y los de ambos lados del cuello, cuya acción combinada devuelve la cabeza y el cuerpo a la posición inicial. Una lesión en el oído interno izquierdo impide la descarga neuronal normal del lado izquierdo, aunque la actividad de base del lado derecho permanezca normal. El resultado es la estimulación del tracto vestíbuloespinal derecho, con el consecuente incremento del tono de los músculos antigravitatorios del lado derecho. Esto provoca la inclinación de la cabeza y del cuerpo hacia la izquierda, es decir, en dirección hacia el sitio de la lesión periférica.
El cerebelo también es importante en la función vestibular; recibe fibras de los núcleos vestibulares a través del pedúnculo cerebeloso caudal, que finalizan en el lóbulo floculonodular y en el núcleo cerebeloso medial (fastigio). Ciertas de sus porciones proveen inhibición tónica de los núcleos vestibulares por vía de los pedúnculos cerebelosos caudales. Una lesión en los pedúnculos cerebelosos izquierdos, por ejemplo, provoca disminución de la inhibición de los núcleos vestibulares del lado izquierdo, cuyo exceso de actividad activa el tracto vestíbuloespinal izquierdo, provocando la inclinación de la cabeza y del cuerpo hacia el lado derecho. Esto se denomina síndrome vestibular paradójico, debido a que la inclinación de la cabeza se produce hacia el lado opuesto de la lesión.
Cuando la cabeza se mueve súbitamente los otolitos, que tienen una inercia mayor que el fluido que los rodea, inclinan las cilias en un determinado patrón que depende de la dirección del movimiento. Este patrón es retransmitido hacia el cerebro, aportando una sensación de aceleración de la cabeza (aceleración lineal). Esto provoca que los tractos vestíbuloespinales activen los músculos necesarios para mantener la postura normal de la cabeza y del cuerpo durante la aceleración lineal.
2.2. Los canales semicirculares: detección de la rotación de la cabeza
Hay tres canales semicirculares en cada oído, dentro de la porción petrosa del hueso temporal (Figura 5-A), que se denominan de acuerdo a su posición en el espacio (lateral, de orientación horizontal; anterior, de orientación rostro-vertical; y posterior, de orientación caudo-vertical); cada uno de ellos se orienta aproximadamente en un ángulo recto respecto a los otros, correspondiendo uno para cada plano del cuerpo.

Figura 5- A: Representación radiológica del laberinto membranoso en el cráneo de un gato.
Incidencia ventrodorsal. (Tomado de König HE, Liebig HG. Anatomía de los animales domésticos, Tomo 2. Edit. Panamericana. Madrid, España, 2005)
Los canales anterior y posterior forman con el plano rostrocaudal un ángulo de 25° (Figura 5-B).

Figura 5-B: Esquema de la disposición espacial de los conductos semicirculares, que forman ángulos rectos entre ellos.
Los canales verticales anterior y posterior forman un ángulo de 25º con el plano rostrocaudal. Se puede observar que el canal anterior es paralelo al posterior del lado opuesto.
El conjunto constituye un sistema coplanar, ya que los canales de ambos lados se encuentran en un mismo plano, de modo que cuando el canal de un lado se estimula, el correspondiente contralateral es inhibido. Los canales están llenos de un fluído llamada endolinfa. Hacia la parte distal de cada canal hay una dilatación (ampolla) que contiene la cresta ampular. Esta estructura contiene células ciliadas especializadas, responsables de transducir los movimientos rotacionales en impulsos nerviosos. Las cilias se proyectan directamente sobre la endolinfa que se encuentra en los canales. En condiciones normales de reposo, las células ciliadas emiten descargas neuronales a una frecuencia constante.
Cuando la cabeza comienza a rotar en alguna dirección (aceleración angular) la endolinfa de los canales semicirculares, a causa de su inercia, tiende a permanecer estacionaria, a pesar de que los canales están rotando. El resultado es un flujo relativo de líquido en dirección opuesta a la rotación de la cabeza. Este flujo inclina las cilias de las células, cambiando la frecuencia de la descarga neuronal. El flujo de líquido en una dirección determinada incrementa la actividad neuronal, estimulando su frecuencia de descarga, mientras que el flujo en la dirección opuesta disminuye la actividad neuronal, inhibiendo su frecuencia de descarga. Luego de unos pocos segundos de iniciado el movimiento de rotación, el líquido interrumpe su movimiento dentro de los canales en movimiento, las cilias de las células retornan a su posición de reposo y las descargas neuronales retoman su actividad basal. Sucede lo opuesto si se detiene la rotación de la cabeza. La endolinfa tiende a continuar fluyendo, a pesar de que los canales detienen su movimiento. En este momento las cilias se inclinan en dirección opuesta, provocando un patrón de descarga neuronal exactamente opuesto. Luego de otros pocos segundos, la endolinfa también se detiene y todo el sistema regresa a su estado de reposo.
El estímulo más efectivo para cada uno de los canales semicirculares es la rotación de la cabeza en el mismo plano del canal. Debido a que cada canal está orientado en un plano diferente, la rotación de la cabeza en cualquier dirección estimula siempre al menos a uno de los canales. Por otra parte, cada canal semicircular está pareado funcionalmente con uno de los canales del lado opuesto por su posición común en un plano paralelo. Los movimientos en cualquiera de los planos estimulan las células ciliadas del canal correspondiente e inhiben a las del canal del otro lado. El cerebro utiliza estos patrones de estimulación para detectar el momento en que la cabeza está comenzando a rotar. Si bien la mácula y el sáculo pueden detectar una posición anormal de la cabeza una vez que ésta ha ocurrido, los canales semicirculares están diseñados para detectar el inicio mismo del movimiento rotacional. Esto permite al cerebro la activación de los músculos antigravitatorios apropiados como para prevenir una postura anormal antes de que ocurra.
2.3. El sistema vestibular como coordinador de los movimientos oculares
El sistema visual funciona en forma óptima cuando las imágenes permanecen estables sobre la retina. Aún los más pequeños movimientos de la cabeza deben ser compensados para permitir que las imágenes no se muevan sobre la retina. Normalmente, la rotación de la cabeza induce un movimiento compensatorio de los ojos en dirección opuesta al movimiento de la cabeza. Este mecanismo sirve para estabilizar las imágenes sobre la retina. El estímulo para estos movimientos oculares es información vestibular que proviene de los canales semicirculares. Las señales desde las neuronas vestibulares son retransmitidas a los núcleos motores de los nervios craneanos III, IV y VI, que controlan los músculos extraoculares. La respuesta originada se denomina reflejo vestíbuloocular.
Por ejemplo, la rotación de la cabeza hacia la izquierda provoca movimiento de la endolinfa en el canal horizontal izquierdo en esa dirección, estimulando la actividad de las células ciliadas, mientras que en el canal horizontal derecho la endolinfa se mueve en dirección opuesta, provocando inhibición de la actividad eléctrica. Esto provoca la contracción de los músculos recto lateral derecho y recto medial izquierdo, provocando un movimiento de los ojos hacia la derecha. Esta es la «fase lenta» del reflejo vestíbuloocular y se denomina comúnmente «movimiento de ojos de muñeca». La presencia de este movimento ocular lento, de carácter compensatorio e inducido por la rotación de la cabeza, implica un normal funcionamiento de las vías vestíbulooculares.
Con la persistencia del movimiento de rotación de la cabeza, la tensión en los músculos extraoculares aumenta como para permitir movimientos más amplios del ojo, y la fase lenta del reflejo vestíbuloocular se ve interrumpida por un movimiento rápido, de tipo correctivo, en la misma dirección hacia la que la cabeza está rotando (la «fase rápida» del reflejo vestíbuloocular). Este movimiento es de tipo sacádico, se induce por estímulos visuales (usualmente una imagen en la periferia visual), y es controlado por centros cerebrales superiores, no por el sistema vestibular. Al final de esta fase correctiva, se reanuda el movimiento compensatorio lento, de modo que los ojos se colocan en una nueva posición.
La alternancia de movimientos compensatorios lentos con otros bruscos en dirección a la posición central se denomina nistagmo. Es costumbre denominar al nistagmo de acuerdo a la dirección de la fase rápida del movimiento de los ojos. De este modo, la rotación de la cabeza hacia la izquierda produce un nistagmo horizontal hacia la izquierda.
El daño en un solo canal semicircular puede resultar en la pérdida de la actividad neural basal en el canal afectado. Debido a que el canal pareado del oído contralateral permanece funcional, se produce un desbalance de las señales provenientes de ambos canales; este patrón de actividad es interpretado como una rotación de la cabeza en dirección hacia el lado sano, a pesar de que la cabeza esté quieta. La consecuencia es un nistagmo caracterizado por movimientos de los ojos en el plano del canal lesionado, con la fase lenta en dirección al sitio dañado y la fase rápida en la dirección opuesta. Como una lesión que afecte selectivamente a un solo canal es muy rara de observar, los movimientos oculares anormales por una afección del oído interno poseen habitualmente componentes horizontales, verticales y rotatorios debido a los efectos combinados de las señales alteradas que provienen de todos los canales afectados. Los componentes horizontal y rotatorio son los más prominentes, ya que los componentes provenientes de los dos canales verticales tienden a cancelarse mutuamente.
Como se ha dicho, en pacientes normales en estado de alerta la rotación de la cabeza induce inicialmente un nistagmo fisiológico en el mismo plano de la rotación. Este es el reflejo vestíbuloocular normal caracterizado por una fase lenta en dirección opuesta a la de la rotación de la cabeza, y una fase rápida en el mismo sentido que la rotación cefálica. Existen otros dos tipos de nistagmo fisiológico. El nistagmo inducido por temperatura se produce debido al flujo de endolinfa en los canales semicirculares por la creación de un gradiente térmico entre los canales laterales de ambos lados. La prueba consiste en la irrigación del conducto auditivo externo de ambos oídos con agua caliente (44°C), que estimula al canal lateral del oído irrigado, o con agua fría (aproximadamente 0°C), que lo inhibe. La asimetría en las respuestas de cada oído sugiere disfunción vestibular. Otro tipo de nistagmo fisiológico es el denominado opticocinético, y es inducido por un patrón provocado de movimiento horizontal a lo largo del campo visual del paciente como, por ejemplo, el movimiento de los dedos de un lado a otro delante de los ojos del paciente. Normalmente se observan movimientos oculares lentos que siguen la dirección del patrón de estimulación, interrumpidos regularmente por movimientos rápidos en la dirección opuesta. El estímulo de este reflejo es visual y no vestibular. El nistagmo opticocinético ausente o asimétrico indica primariamente ceguera unilateral o enfermedad del SNC, aunque las lesiones periféricas agudas también pueden causar movimientos asimétricos. Estas pruebas se usan muy poco en medicina veterinaria, debido a que la respuesta en los animales es de una gran variabilidad.
En síntesis, las funciones del SV son:
Estabilizar la posición de la cabeza en el espacio mediante los reflejos vestíbuloespinales, para mantener una posición corporal estable contra las fuerzas de la gravedad.
Estabilizar la posición de los ojos durante los movimientos de la cabeza mediante los reflejos vestíbulooculares, manteniendo la imagen visual estable en la retina.
3. SIGNOS DE ENFERMEDAD VESTIBULAR
Los disturbios vestibulares producen grados variables de inestabilidad, ataxia y nistagmo. Los signos son generalmente unilaterales o asimétricos, pero pueden ser bilaterales. Debido a que la fuerza de los animales afectados se encuentra conservada, no hay paresia. Desde el punto de vista clínico, es importante saber que no se debe aguardar que las anormalidades se presenten juntas en el mismo paciente.
Se debe tener en cuenta que:
Muchos de los signos clínicos son temporarios y pueden haber desaparecido o estar compensados en el momento del examen neurológico.
Muchos de los signos clínicos pueden no provenir de lesiones vestibulares, aunque las imiten.
El nistagmo no es patognomónico de ningún síndrome en particular.
3.1. Inclinación de cabeza
Es el signo más constante de enfermedad vestibular unilateral (Figura 6). Sucede como resultado de la pérdida de tonicidad de los músculos antigravitatorios de un lado del cuello. Las lesiones vestibulares periféricas causan inclinación de la cabeza en dirección al sitio de la lesión, mientras que las lesiones centrales pueden hacerlo hacia el lado opuesto. Los animales con enfermedad vestibular bilateral no presentan inclinación de cabeza pero presentan movimientos cefálicos de un lado al otro.
3.2. Ataxia y trastornos de la marcha
Las alteraciones vestibulares suelen provocar ataxia caracterizada por un aumento de la base de sustentación y oscilaciones de la cabeza y del tronco. Los animales con afecciones unilaterales a menudo tropiezan, ruedan, giran o marchan en círculos cerrados hacia el lado de lesión. El animal cae hacia el sitio afectado debido al menor tono extensor que presentan los músculos de ese lado, y a la hipertonía extensora contralateral. El vendaje ocular de un paciente con signos vestibulares sutiles puede exacerbar la disfunción. Las lesiones periféricas no producen debilidad o alteraciones en la propiocepción. Tales alteraciones indican una lesión central que afecta las vías aferentes propioceptivas, o las eferentes motoras. La determinación de deficiencias propioceptivas es el signo más confiable para diferenciar una lesión vestibular central de una periférica (si se puede, acá iría un video corto).
La marcha circular en la enfermedad vestibular se caracteriza porque los círculos pueden ser tan cerrados que la cabeza del animal está doblada sobre el dorso, haciéndolo caer. El cuerpo y el cuello también suelen estar incurvados en forma exagerada. Luego de un tiempo en que el animal lucha contra este tipo de marcha, suele encontrar una posición confortable, y así permanece hasta que se lo molesta. La caída y la rodada son signos que están relacionados a la marcha circular. En la enfermedad vestibular aguda, la desorientación gravitacional es tan intensa que los animales afectados no pueden discernir realmente qué parte de su cuerpo está abajo o arriba. Cuando el animal cae trata de enderezarse, pero sólo puede hacerlo desde el lado no afectado. En los casos más graves, el animal logra incorporarse para volver a caer hacia el lado afectado, perpetuando el movimiento de rodada. La maniobra de levantar al animal, haciéndolo perder su contacto táctil con el suelo, ocasiona muchas veces una conducta frenética, durante la cual el paciente intenta manotear cualquier cosa para sostenerse, pudiendo lesionar al que lo levantó.
Con una afección vestibular bilateral suele haber ataxia simétrica, caídas hacia ambos lados y una postura típica agazapada con miembros separados y desplazamiento reptante.
3.3. Nistagmo patológico
El nistagmo consiste en oscilaciones rítmicas involuntarias de los ojos, caracterizadas por un movimento lento seguido de uno sacádico, y puede reflejar una disfunción del SNC (cerebelo o tronco encefálico), del ojo o del oído interno (sistema vestibular periférico).
El nistagmo se describe en términos de: a) su dirección (horizontal, vertical o rotatorio); b) su presencia de acuerdo a la posición de la cabeza; c) si es conjugado (la misma dirección en cada ojo) o desconjugado (diferente dirección en cada ojo).
El nistagmo espontáneo ocurre cuando la cabeza se encuentra en posición normal. La fase lenta se dirige en dirección hacia el sitio de la lesión, y la fase rápida lo hace en dirección opuesta. Una lesión periférica aguda produce generalmente nistagmo espontáneo con componentes horizontales y rotacionales, mientras que el nistagmo de origen central es puramente vertical, horizontal o rotatorio, ya que las vías para los movimientos vestíbulooculares comienzan separadamente en los núcleos vestibulares y no en los canales semicirculares. El nistagmo espontáneo vertical indica una lesión central.
En animales con disfunción vestibular aguda grave puede haber oscilación cefálica o contracciones palpebrales asociadas al nistagmo, que se corresponden con su frecuencia. El nistagmo espontáneo de origen periférico es fuertemente inhibido por la fijación visual y habitualmente desaparece a los pocos días de producirse la lesión, a causa de una compensación de origen cerebral.
El nistagmo posicional ocurre cuando la cabeza se coloca en una posición inusual, por ejemplo, extendida o flexionada. A causa de la compensación cerebral que hace desaparecer el nistagmo espontáneo, siempre se deben realizar las maniobras para inducir el nistagmo posicional extendiendo la cabeza y colocando al paciente en diferentes decúbitos. La presencia de nistagmo posicional no tiene una gran valor localizador para determinar el origen central o periférico de la alteración vestibular, aunque el nistagmo que cambia de dirección con distintas posiciones de la cabeza es habitualmente observado en lesiones centrales.
El nistagmo pendular se refiere a aquel que no presenta una fase rápida y una lenta, sino que los ojos se mueven a la misma velocidad en ambas direcciones. Este tipo de nistagmo se produce por una alteración congénita en la vía visual, a nivel del quiasma óptico, y se observa comúnmente en razas felinas orientales como el Siamés y el Himalayo. Es sumamente importante su reconocimiento, ya que no es un signo de enfermedad vestibular.
Los animales con enfermedad vestibular bilateral no presentan nistagmo, y están ausentes los movimientos oculocefálicos normales (los ojos no se mueven cuando lo hace la cabeza).
El nistagmo pendular es común en las razas orientales como el Siamés y el Himalayo, y no es un signo de enfermedad vestibular, ya que tiene origen congénito
3.4. Estrabismo
El estrabismo es un signo clínico emparentado con el nistagmo. La enfermedad vestibular puede provocar un estrabismo posicional, caracterizado por la desviación de un ojo ventralmente o ventrolateralmente hacia el lado de la lesión cuando la cabeza es extendida. Ocasionalmente puede observarse estrabismo ventral permanente. Rara vez se produce en forma espontánea. El estrabismo indica la alteración de los impulsos provenientes de los núcleos vestibulares hacia los núcleos de los nervios craneanos de los músculos extraoculares por vía del fascículo longitudinal medial.
3.5. Alteraciones de otros nervios craneanos y síndrome de Horner
Las lesiones vestibulares periféricas pueden estar asociadas con parálisis del nervio VII ipsilateral o con síndrome de Horner, debido al trayecto del nervio facial y de las fibras simpáticas que inervan al ojo en el interior del oído medio/interno. El nervio VII, en su recorrido intrapetroso, penetra en el meato acústico interno junto al nervio VIII; las fibras motoras discurren por el canal facial en el hueso petroso, desprenden ramas para el músculo del estribo y finalmente salen del cráneo a través del foramen estilomastoideo. Por este motivo, en caso que exista una otitis interna, además de los signos vestibulares ipsilaterales, el animal puede mostrar signos clínicos de compromiso del nervio VII, como paresia o parálisis.
Las fibras simpáticas posganglionares provienen del ganglio cervical craneal, localizado en caudomedial de la ampolla timpánica. Después de abandonar el ganglio, las fibras ingresan al cráneo por la fisura tímpano-occipital en caudal de la ampolla timpánica y luego pasan entre ella y la porción petrosa del temporal. Al ingresar en la cavidad timpánica, en la extremidad caudal del promontorio las fibras se ramifican formando el plexo timpánico. En este trayecto son altamente susceptibles al trauma quirúrgico. Luego de atravesar la cavidad timpánica se unen al nervio oftálmico a nivel del canal del nervio trigémino en la cara medial de la porción petrosa del temporal, para ir a inervar a la musculatura lisa de la periórbita y al músculo dilatador de la pupila. Por este motivo, una otitis media/interna puede causar, además de los signos vestibulares ipsilaterales, un síndrome de Horner (miosis, ptosis palpebral, enoftalmos y protrusión de la membrana nictitante) (Figura 6).

Figura 6: Gatito con síndrome vestibular periférico debido a otitis media/interna en el oído izquierdo.
Nótese la inclinación de la cabeza hacia el lado del oído afectado y el síndrome de Horner concurrente por compromiso de las fibras simpáticas en la cavidad timpánica.
Las lesiones vestibulares centrales pueden afectar también otros nervios craneanos tales como el V y el VI par. No se ha deo la presencia de síndrome de Horner asociado a alteraciones de origen central.
4- SINTOMATOLOGIA VESTIBULAR PERIFERICA
Los signos clínicos provienen de enfermedades del oído medio/interno, por afección de los receptores del laberinto o del nervio VIII. Las patologías del oído medio producen alteraciones vestibulares solamente cuando de propagan hacia el oído interno.
La inclinación de la cabeza y la ataxia se producen hacia el lado ipsilateral. El nistagmo es horizontal o rotatorio (con la fase lenta en dirección al sitio de la lesión), no posicional y conjugado. El estrabismo, si está presente, suele ser ventrolateral en el ojo ipsilateral. El estado mental es normal y no debe haber paresia o deficiencias en la propiocepción.
Acompañando al síndrome vestibular periférico puede haber compromiso del nervio VII, caracterizado por descenso de la oreja, incapacidad de levantar el belfo o de movilizar la comida que queda atrapada entre el vestíbulo bucal y la cavidad bucal propiamente dicha, e incapacidad de cerrar los párpados; todos los signos corresponden al lado afectado. También puede estar presente el síndrome de Horner, caracterizado por miosis, ptosis palpebral, enoftalmos y protrusión de la membrana nictitante.
5- SINTOMATOLOGIA VESTIBULAR CENTRAL
Los signos corresponden a enfermedades del tronco encefálico y estructuras asociadas (Figura 7).

Figura 7-A: Gato adulto con síndrome vestibular central. Nótese la desviación de la cabeza y cuello hacia el lado derecho, y la tetraparesia. El animal presentaba deficiencias propioceptivas en los miembros del lado izquierdo, es decir, el lado opuesto a la inclinación cefálica (síndrome vestibular paradóljico)

Figura 7-B: TAC del gato antetrior. Obsérvese la masa tumoral en el cerebelo, del lado izquierdo.
El aspecto diferencial entre la alteración periférica y la central es la deficiencia en las reacciones posturales, con paresia y disminución o pérdida de la propiocepción consciente en el lado ipsilateral. El nistagmo en general está presente y también puede contribuir al diagnóstico diferencial. Si es vertical siempre es indicativo de lesión central, al igual que si es posicional y desconjugado.
El paciente presenta inclinación cefálica, estrabismo ventrolateral y ataxia asimétrica, ipsilaterales a la lesión. Generalmente existen otros signos de tronco encefálico (tales como deficiencia de posición propioceptiva ipsilateral, hemiparesia, estado mental reducido y otras alteraciones de pares craneanos, especialmente del V y del VI pares) o de disfunciones cerebelosas (dismetría, tremores de intención). En caso de signos clínicos que indiquen compromiso de otras áreas del SNC (convulsiones, alteraciones de los reflejos espinales) debe sospecharse de enfermedad multifocal.
6- SINTOMATOLOGIA VESTIBULAR PARADOJICA
Cualquier alteración del SV que produzca alteraciones del lado contrario al que se observa la lesión constituye una excepción a la regla general, por lo que se denomina paradójica. Los signos vestibulares contralaterales al lado lesionado se observan en enfermedades que afecten los núcleos vestibulares rostral y medial, pedúnculo cerebelosos caudal y lóbulo floculonodular del cerebelo, que por lo general se deben a masas ocupantes del ángulo cerebelomedular (Figura 7). Cuando existen signos vestibulares, los indicadores más confiables para determinar cuál es el lado lesionado provienen de la observación de las deficiencias en las reacciones posturales o las anormalidades adicionales que puedan existir en otros nervios craneanos.
7- APROXIMACION AL DIAGNOSTICO
Como su nombre lo indica, el diagnóstico inicial de síndrome vestibular (central o periférico) caracteriza un conjunto de signos clínicos que tiene solamente un valor localizador, pero nunca es suficiente como para identificar la etiología del trastorno. Dado que muchas enfermedades diferentes localizadas en la misma parte del SV pueden producir signos clínicos similares, se requieren estudios complementarios para alcanzar un diagnóstico de precisión.
El examen neurológico habitualmente es suficiente como para identificar la enfermedad vestibular central, periférica o paradójica. La anamnesis detallada y el examen físico exhaustivo, que incluya oftalmoscopía y otoscopía, son esenciales en el protocolo diagnóstico. Es importante obtener una base de datos mínima (hemograma completo y bioquímica sérica), que puede evidenciar una enfermedad multifocal. Otros exámenes adicionales (radiografía de tórax, ecografía abdominal) pueden ayudar a la detección de enfermedades concurrentes.
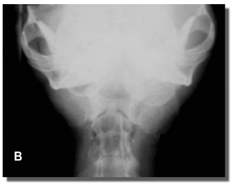
El diagnóstico de las patologías vestibulares periféricas requiere un examen detallado de la faringe y los oídos. La radiología de cráneo en distintas incidencias y la tomografía computada (TC) permiten la correcta evaluación de las ampollas timpánicas y de la porción petrosa del hueso temporal (Figura 8).


Figura 8: Rx de cráneo en incidencia L-L (A), y en incidencia D-V (B) Nótese el aumento de tamaño (expansión) y de la densidad de la ampolla timpánica izquierda. La imagen es altamente compatible con la presencia de pólipos.
La otoscopía, que puede requerir anestesia general, permite visualizar las características de la membrana timpánica, que estará alterada en afecciones del oído medio/interno. En la misma maniobra se puede realizar una miringotomía (aspiración por abordaje ventrocaudal de la membrana timpánica), que permite la recolección de líquido de la cavidad timpánica para su posterior análisis (citología, cultivo y antibiograma) (Figura 9).

Figura 9: Membrana timpánica izquierda de un gato normal. Nótese el área en el cuadrante caudoventral (círculo), sitio recomendado para la miringotomía, a los efectos de evitar el daño de los huesecillos auditivos (M: mango del martillo) y las ventanas redonda y oval del oído medio (tomado de Le Couteur RA, Vernau KM. Enfermedades vestibulares del gato. Selecciones Veterinarias. Vol.8, No.6,596-613, 2000).
Del mismo modo, cualquier tejido anormal presente en el conducto auditivo externo puede ser muestreado para citología o histopatología.
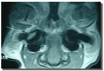
El diagnóstico de las patologías vestibulares centrales requiere métodos de diagnóstico más sofisticados (Figura 10).


Figura 10: RMN de cráneo y cerebro en incidencia L-L (A), y en incidencia D-V (B). Obsérvese la masa de tejido blando en la cavidad del oído medio, compatible con la presencia de pólipos.
La resonancia magnética (RM) es ideal para el estudio del SNC. Es mucho más sensible que la TAC para la evaluación de la fosa posterior cerebral y del tronco encefálico, ya que no es susceptible a los artificios que produce la atenuación de la emisión radiográfica por la porción petrosa del hueso temporal. El análisis del líquido cefalorraquídeo (LCR) puede ser útil en la caracterización de la patología, y es diagnóstico cuando se detectan organismos (por ejemplo Cryptococcus sp) o células tumorales. También puede ser remitido para realizar pruebas serológicas (toxoplasmosis) o cultivo y antibiograma.
8- PATOLOGIA VESTIBULAR PREVALENTE
A continuación se enumeran las causas más comunes que pueden ocasionar enfermedad vestibular central o periférica en felinos:
Enfermedad Vestibular Periferica
Congénita: dea en gatitos de raza Siamés y Birmano. Puede acompañarse de sordera. En Birmanos no es progresiva. No se ha demostrado un proceso hereditario.
Idiopática: La etiología del síndrome no se establecido pero su carácter estacional se ha postulado como causa posible la migración de larvas de Cuterebra a través del oído interno.
Pólipos nasofaríngeos: Son masas de tejido blando bien vascularizadas, revestidas por epitelio, que se localizan en la tuba auditiva, el oído medio, el canal auditivo externo o la nasofaringe. La etiología es desconocida, pero se han sugerido como causas posibles la inflamación crónica, calicivirosis y factores congénitos o familiares.
Otitis media/interna o laberintitis: En general es de origen bacteriano y secundaria a otitis media, aunque puede producirse también por extensión de infecciones faríngeas hacia la cavidad timpánica o por diseminación hematógena. Otras causas incluyen levaduras, hongos (Cryptococcus sp), parásitos y cuerpos extraños.
Neoplasias: El carcinoma de células escamosas es el tumor maligno más frecuente de oído medio en los felinos. Otros tumores posibles de hallar son fibrosarcomas, osteosarcomas, condrosarcomas, adenoma/adenocarcinoma de glándulas ceruminosas, linfoma y adenocarcinoma de glándulas sebáceas.
Tóxicos: Las drogas ototóxicas pueden inducir enfermedad vestibular bilateral. Se incluye en esta lista a todos los antibióticos aminoglucósidos, especialmente la gentamicina y la estreptomicina, los diuréticos del asa (ácido etacrínico, bumetanida y furosemida) y los productos para limpieza del canal auditivo y los vehículos en los preparados óticos (propilenglicol, clorhexidina, cetrimida), en particular si la membrana timpánica está dañada.
Traumatismos: Debido a fractura de la porción petrosa del hueso temporal o de la ampolla timpánica.
Enfermedad Vestibular Central
Deficiencia de tiamina: Son particularmente susceptibles los gatos quese alimentan con pescado crudo y los animales anoréxicos.
Neoplasias: El tumor que con más frecuencia produce enfermedad vestibular central en gatos es el meningioma. Otros menos frecuentes son los oligodendrogliomas y extensión de tumores del oído medio.
Infecciones: Cualquier agente infeccioso que produce meningoencefalitis puede provocar enfermedad vestibular central: Peritonitis Infecciosa Felina, toxoplasmosis, criptococosis (Criptococcus neoformans), migración aberrante de parásitos, meningoencefalitis bacterianas y rabia.
Toxicidad por metronidazol: Un síndrome vestibular central agudo fue deo en 3 gatos, con los mismos signos que se presentan en los perros.
Traumatismo craneocefálico.
REFERENCIAS BIBLIOGRAFICAS
Aige Gil V. «Neurología Veterinaria en el Perro y el Gato». Ediciones Pulso. Barcelona, España, 1998, pp. 151-160.
Dyer Inzana K. Síndromes vestibulares. In Pellegrino FC, Suraniti A, Garibaldi L (ed.) «El libro de neurología para la práctica clínica». Ed. Intermédica. Buenos Aires, Argentina, 2003, pp. 239-242.
Garibaldi L. Nervios craneanos. In Pellegrino FC, Suraniti A, Garibaldi L (ed.) «El libro de neurología para la práctica clínica». Ed. Intermédica. Buenos Aires, Argentina, 2003, pp. 95-121.
König HE, Liebig HG. Anatomía de los animales domésticos, Tomo 2. Edit. Panamericana. Madrid, España, 2005, pp.329-334.
Le Couteur RA, Vernau KM. Enfermedades vestibulares del gato. Selecciones Veterinarias. Vol.8, No.6,596-613, 2000.
Pazo JH. Control del equilibrio y la postura I: El sistema vestibular. In Cingolani HE, Houssay AB (ed) «Fisiología Humana de Bernardo Houssay. Tomo 4, Neurofisiología. Ed. El Ateneo. Buenos Aires, Argentina, 1994, pp. 214-222.
Shepherd GM. «Neurobiología». Ed. Labor. Barcelona, España, 1985, pp. 267-283.
Simpson ST. Ataxia, inclinación de la cabeza, nistagmo, marcha circular y hemiparesia. In Ford RB (ed.) «Signos clínicos y diagnóstico en pequeños animales». Ed. Panamericana. Buenos Aires, Argentina, 1992, pp. 231-239.
Thomas WB. Vestibular dysfunction. The Veterinary Clinics of North America. Vol.30, No.1, 227-250, 2000.
Autor: Fernando Pellegrino, MV, PhD
Fuente: AAMeFe – Asociación Argentina de Medicina Felina