Frotis
Frotis Sanguíneo

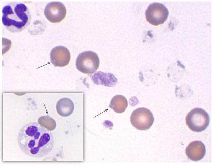
El presente caso clínico corresponde a un Pug de 5 años de edad con un cuadro de vómitos y letargo. Al examen clínico, el perro presentaba membranas mucosas pálidas. El análisis de sangre mostró una anemia grave (Hematocrito 9%, rango normal = 39% a 55%) y un leucograma inflamatorio con 42,179 neutrófilos / Œºl (rango normal = 2,800 a 11,500/µl) y 3,374 Abastonados / Œºl (rango normal <300/Œºl). El plasma se mostró de color rojo oscuro. Se muestra la imagen de un frotis sanguíneo (Wright-Giemsa, aumento original x 1.000).

¿Cuál de las siguientes es la causa más probable de la anemia de este perro?

a) Deficiencia de Piruvato kinasa
b) Intoxicación por Zinc
c) Babesiosis
d) Hemólisis Immuno-mediada