Gary W. Ellison, DVM, MS, Dipl. ACVS
Foto 1: Un pug hembra de 8 semanas de edad con atresia tipo 1. Se inserta una sonda roma en el canal estenótico. Los conductos de los sacos anales son visibles.
La atresia anal es una anomalía embriológica congénita en la que el intestino posterior no se comunica plenamente con el perineo. El ano puede estar imperforado o afectado por estenosis. La atresia anal puede aparecer sola o en combinación con fístula rectovaginal o rectovestibular (FRV). En los perros, están predispuestos las hembras y ciertas razas como poodles y Boston Terriers. Hay pocos informes de atresia anal en los gatos, y la mayoría se trata de hembras con FRV concurrente.

Foto 2: Ilustración de atresia anal tipo II con FRV. La comunicación permite que las heces salgan de la vulva.
La atresia anal consta de cuatro tipos de anomalías de severidad progresiva. El tipo I corresponde a la estenosis congénita anal sin ano imperforado (Foto 1). Las anomalías de tipo II y III constituyen un ano imperforado a una distancia <1,5 cm (tipo II) o > 1,5 cm (tipo III) de un saco ciego rectal (Foto 2). Las anomalías del Tipo IV son raras e involucran a un saco ciego rectal con desarrollo normal de la parte terminal del recto.
Signos clínicos y diagnóstico
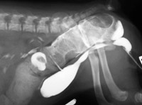
Foto 3: Vaginograma con contraste de un Boston Terrier de 10 semanas de edad ilustra una amplia comunicación entre la pared dorsal del vestíbulo y el recto
Los cachorros y gatitos afectados con atresia anal suelen ser raquíticos y anoréxicos y tienen agrandamiento abdominal debido al megacolon secundario. En pacientes sólo con atresia anal, se reduce la defecación (tipo I) o se ausenta (tipos II, III y IV). Los cachorros y los gatitos recién nacidos con atresia anal y FRV confluente pueden presentar una historia de cistitis crónica recurrente. El paso de las heces de la vulva es el signo distintivo en las mujeres.

Foto 4 A: Jack Russell Terrier de 8 semanas de edad con ano imperforado y FRV. Una pinza mosquito fácilmente comunica con el lumen rectal, y la punta hacia el exterior desvía la membrana anal.
Un vaginograma con contraste a menudo es útil en la determinación de la longitud y la anchura de la comunicación en los casos con FRV concurrente (Foto 3). Bajo sedación profunda o anestesia general, se puede insertar una pinza curva en la vulva para ayudar a identificar la comunicación con el recto (Foto 4A).
Cirugía y Pronóstico
Foto 4B: La comunicación rectovaginal se cierra con clips hemostáticos.
A menudo se pospone la cirugía para corregir la atresia anal hasta 6 y 8 semanas después del nacimiento. Se utilizan instrumentos finos como pinzas y tijeras para tenotomía con el objetivo de diseccionar cuidadosamente la piel del ano hacia adentro e identificar el saco rectal. Las fístulas rectovaginales varían en profundidad y anchura de comunicación. Varios autores han ligado, seccionado y suturado o utilizado clips hemostáticos para atenuar la comunicación (Fotos 4B, 4C).
Foto 4C: Aparición de anoplastia 10 días después de la operación.
Las complicaciones después de cirugía incluyen: incontinencia fecal, megacolon persistente, estenosis anal y cistitis recurrente. En un estudio, tres de seis perros que fueron sometidos a la anoplastia necesitaron una revisión o una colectomía subtotal. El pronóstico para los pacientes con atresia anal con FRV concurrente parece ser mejor que para aquellos pacientes con solamente atresia anal. La principal preocupación en estos casos no es el megacolon persistente sino la infección persistente del tracto urinario. Se realizó con éxito una conservación de la FRV en dos perros para la reconstrucción del canal anal y el ano en casos de atresia anal con FRV. Este puede ser un método para reducir la incontinencia postoperatoria.