Sin categoría

728 artículos publicados
Especialidad
Tipo de contenido
Más recientes
HEMATOLOGíA

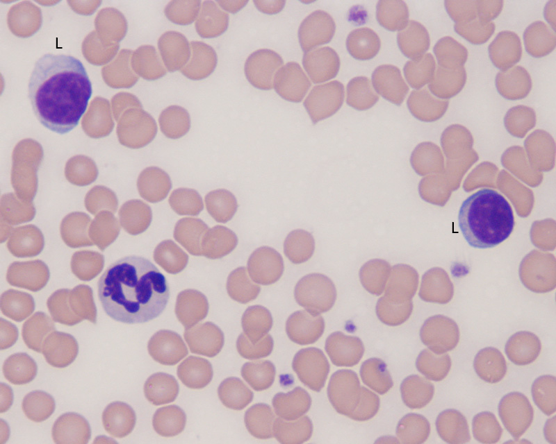
El Frotis Sanguíneo

El correcto estudio del frotis depende de varios factores entre los que destacamos la adecuada toma de muestra, correcto extendido en monocapa, secado inmediato, buen manejo de las tinciones hematológicas, microscopio binocular con objetivos 10, 40 y 100 (inmersión) en buen estado y personal entrenado para éste propósito.

Redacción VetPraxis 2 Ago, 2024 4 min
HEMATOLOGíA

Desafío Veterinario: Leucocitosis y Linfocitosis en una Gata Doméstica de 3 Años

Su tutor no reporta cambios en su estado de ánimo, apetito o signos de enfermedad. En el hemograma se observó: hematocrito 35%, hemoglobina 12.5 g/dL, recuento de glóbulos rojos 7.2 mill/uL, proteínas totales 7.2 g/dL, plaquetas 110,000/µL, recuento de glóbulos blancos 18,600/uL (neutrófilos 8,000/uL, linfocitos 10,000/uL, eosinófilos 300/uL, monocitos 300/uL). El test rápido para leucemia y sida fue negativo. El leucograma mostró leucocitosis con linfocitosis marcada, con morfología linfocitaria normal; neutrófilos, monocitos y eosinófilos normales. El eritrograma y las proteínas totales estaban dentro de los límites normales, y el trombograma fue normal, con algunos acúmulos plaquetarios.

Redacción VetPraxis 25 Jul, 2024 5 min
SIN CATEGORíA

TRIVIA: Lesión dérmica

Ponte a prueba. ¿Qué tipo de lesión es? Estos tres tipos de lesiones son fundamentales en el diagnóstico diferencial de las enfermedades dermatológicas en perros

Redacción VetPraxis 8 Jun, 2024 2 min
ACTUALIDAD

Reto Veterinario: Accidente de tráfico

Autor: Dr. José Rodríguez Licenciado y Doctor en Veterinaria por la Universidad Complutense de Madrid, España (1982, 1986). Veterinario-Investigador en el Servicio de Cirugía Experimental del…

Redacción VetPraxis 7 Abr, 2021 11 min
ACTUALIDAD

Celebremos juntos esta Navidad

¿Estás pensando en qué regalar o en qué regalarte? Tenemos para ti esta súper promoción. ¡Feliz Navidad! Elige un curso del 2021 a precio de pre-venta…

Redacción VetPraxis 8 Dic, 2020 4 min