Por Juan Manuel Lajara L., D.V.M.

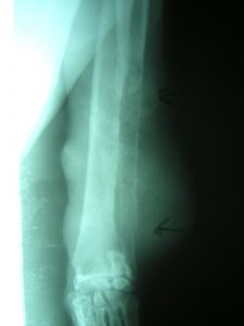
Las lesiones neoplásicas en huesos de pequeños animales no son ajenas a nuestra práctica diaria. Se sabe que los tumores de origen esquelético representan el 3% o 4% de las neoplasias malignas en caninos. De igual forma, se ha calculado que el 80% de los tumores óseos son osteosarcomas. Los huesos largos de razas gigantes como los molosoides, pastores alemanes, setter irlandes, labradores, golden retriever son los que se ven afectados con mayor frecuencia. Con menor frecuencia los huesos del cráneo pueden estar involucrados en casos de osteosarcoma. De igual forma se conoce que cualquier raza canina puede verse afectada. Los felinos pueden padecer de ésta neoplasia aunque con menor frecuencia.
El origen exacto del tumor aún se desconoce aunque hay cierto concenso en que la causa más probable se deba a microfracturas crónicas debido al peso y tipo de actividad del canino. La edad promedio de aparición es de 07 años con mayor número de casos en pacientes machos. Los miembros anteriores se ven afectados en la epífisis distal del radio o en la diáfisis del húmero, mientras que en los miembros posteriores se ven afectados la epífisis distal del fémur y la epífisis proximal de la tibia.
Los pacientes afectados llegan a consulta con claudicación parcial, abultamiento por congestión y edema, dolor a la palpación y algunas veces temperatura alta.

Toma de muestra para estudio citológico
Cuando evaluamos el sistema músculo esquelético mediante citología podemos pensar que es más factible obtener un buen número de muestras adecuadas de tejido muscular por ser un tejido más blando y accesible. En el lado opuesto nos encontramos con el hueso, al ser un tejido con una matrix muy dura nos resulta difícil pensar que podamos acceder a una muestra «decorosa» para el estudio citológico. La realidad nos ha probado innumerables veces que sucede todo lo contrario. El musculo esquelético posee uniones muy fuertes y a pesar de poder acceder con facilidad a introducir una aguja en su interior va a ser difícil que obtengamos células en cantidad adecuada. El tejido óseo al ser efectado por un tejido neoplásico produce lesiones líticas que pueden ser fácilmente aspiradas y brinda mayor celularidad lo que nos permite una muestra adecuada para estudio.


Al introducir la aguja en la lesión, lo primero que nos va a llamar la atención es la suavidad de la masa, lo que nos haría pensar incluso que nos encontramos frente a una estructura semiquística. Con la aguja podemos recorrer muchas partes del tumor y realizar varios aspirados. Casi siempre la muestra suele ser hemorrágica pues existe mucha inflamación peritumoral. Se puede usar la técnica de punción con aguja sola o la técnica de aspirado. Si al realizar la punción con aguja sola la campanilla se satura de sangre muy rápido se recomienda cambar a la técnica de aspirado con jeringa. Si es posible, realizar la tinción inmediatamente para poder confirmar la presencia de células de tejido. Si esto no es posible se recomienda realizar por lo menos 05 extendidos de 05 punciones en 05 partes diferentes del tumor para tratar de asegurar una buena cantidad de muestra útil.

Una vez en el microscopio, usando un aumento menor (4x) debemos realizar una búsqueda ordenada de grupos o zonas donde se aprecie una buena cantidad de células. Si la muestra se presenta hemorrágica es recomendable realizar una búsqueda más minuciosa en la periferia de la lámina pues las células de mayor tamaño suelen ser enviadas a ésta zona al momento de realizar el extendido por el sistema de squash o frotis. Si no se observan células de tejido a poco aumento se debe buscar en las otras láminas.

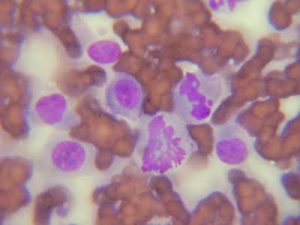
Los aspirados de osteosarcoma son altamente celulares, pueden presentar grupos o células individuales. En oportunidades es posible ver las primeras caraterísticas del tejido a poco aumento como es la presencia de una mátrix rosácea de material osteoide alrededor de los grupos celulares. Cuando tenemos la oportunidad de ver esta característica, podemos empezar a reforzar nuestra sospecha respecto al origen del tumor. Una revisión mas profunda o a mayor aumento nos revela un tejido está formado en su mayoría por células fusocelulares o mesenquimales bien diferenciadas en los tumores menos agresivos o pobremente diferenciadas en los ejemplares más malignos. Son características comunes de los osteoblastos neoplásicos pequeñas vacuolaciones citoplasmáticas, variación en tamaños de células, variación en tamaño de núcleos, mitosis anómalas, relación núcleo/citoplasma elevada, presencia de un nucleolo irregular (o varios), algunas células pueden presentar borde citoplasmático no definido. El citoplasma casi siempre se muestra basofílico o rosáceo en las tinciones con Diff Quick o azulado en las tinciones de Wright. Se pueden observar granulaciones citoplasmáticas en algunas células aunque este hallazgo no presente hasta la fecha un significado útil, los grupos celulares pueden estar acompañados de osteoclastos y osteoblastos benignos.

Se recomienda realizar un diagnóstico acompañado de radiografías de la lesión y un estudio histopatológico. Cuando no exista concordancia entre los resultados de el estudio citológico con los resultados del estudio histopatológico la recomendación diagnóstica del autor es guiarse por el resultado de la prueba citológica. El diagnóstico simplemente radiográfico es posible y es materia de los radiólogos y traumatólogos veterinarios.
Juan Manuel Lajara Larrea. DVM
Director del Laboratorio Patológico Veterinario San Isidro. Lima – Perú.
Artículo publicado originalmente en https://laboratoriosanisidro.blogspot.com/