Autor: Dr. José Rodríguez
Licenciado y Doctor en Veterinaria por la Universidad Complutense de Madrid, España (1982, 1986). Veterinario-Investigador en el Servicio de Cirugía Experimental del Hospital Clínico San Carlos de Madrid (1982-1987). Profesor titular del área de Medicina y Cirugía Animal del Departamento de Patología Animal de la Universidad de Zaragoza, España desde el año 1987 hasta la actualidad. Diplomado en Patología y Cirugía Ocular por la Universidad Autónoma de Barcelona (1992). Director del Hospital Clínico Veterinario de la Universidad de Zaragoza (2003-2008). Miembro del Grupo de Investigación en Técnicas Mínimamente Invasivas de la Universidad de Zaragoza desde el año 1999 hasta la actualidad, desarrollando y aplicando en la clínica veterinaria técnicas de radiología intervencionista. Jefe del Servicio de Cirugía de Tejidos Blandos del Hospital Veterinario de la Universidad de Zaragoza desde el 2008.
Fry es un macho de cuatro años de edad, que sufrió un accidente de tráfico. Fue atendido en un centro de urgencias y tras la estabilización solo detectaron una luxación de la cadera derecha.

En la radiografía lateral no observaron ninguna alteración destacable.

En la radiografía V-D de la pelvis se aprecia la luxación de la articulación coxofemoral del lado derecho.
Una semana más tarde lo operaron para reducir la luxación coxofemoral.
Tras esta cirugía el perro empezó a tener un comportamiento extraño, con aparente dolor en la zona craneal del abdomen. Le realizaron una ecografía en la que observaron una vascularización anormal en el hilio hepático y desituación de los órganos abdominales.
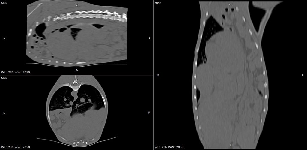
Decidieron realizar un TC porque no entendían que estaba ocurriendo.
Se observó una pérdida de continuidad del límite toraco-abdominal en el lado izquierdo (rotura del diafragma), con desplazamiento de las vísceras abdominales dentro de la cavidad torácica.

En la TC se aprecia el parte del contenido abdominal dentro de la cavidad torácia. Lo más llamativo son las asas intestinales localizadas por delante del corazón.
La analítica sanguínea solo reveló alteraciones en las enzimas hepáticas.
Técnica quirúrgica.
- La intervención quirúrgica se realizó a través de una laparotomía supraumbilical con ampliación paraxifoidea.
- Se colocó el estómago y el intestino en su posición anatómica.
- El hígado estaba adherido dentro de la cavidad torácica por lo que se tuvo que ampliar el defecto diafragmático para liberar las adherencias y recolocar el hígado en su sitio anatómico.
- Se emplazó un catéter de drenaje torácico para realizar la reexpansión progresiva de los pulmones tras cerrar el diafragma.
- El defecto diafragmático se cerró empleando puntos en U horizontales de material no absorbible.
- La lapatoromía se cerró siguiendo la técnica estándar.
Puedes ver la técnica realizada escaneando este código QR:

¿Por qué se puede romper el diafragma tras un atropello?
a.- Porque el impacto es muy fuerte.
b.-Porque el paciente ha comido hace poco.
c.-Porque el perro lleva un arnés de pecho.
d.-Porque la epiglotis esta cerrada en el momento del impacto.
¿Quieres aprender más sobre Cirugía de Tejidos Blandos I?
Inscríbete ahora al curso virtual de Cirugía de Tejidos Blandos I de VetPraxis.
Aprende a tu ritmo y con total comodidad.
Inicio 22 de abril 2021.
Clic Aquí
