Respuestas correctas alternativa “F”
Explicación ????

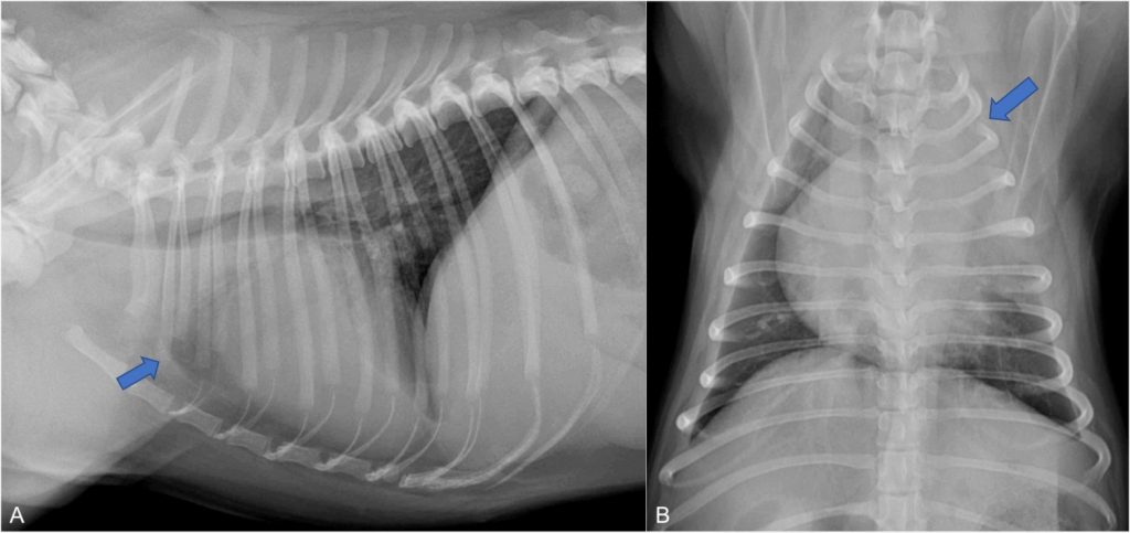
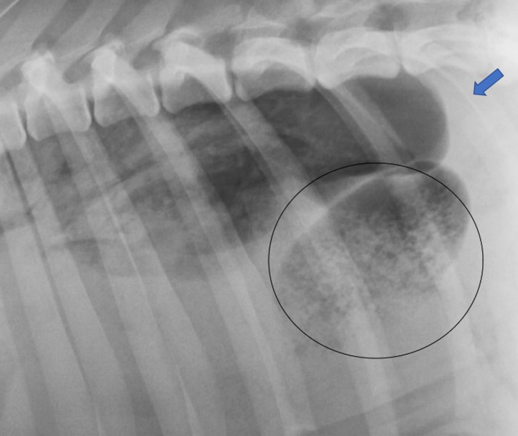
La consolidación pulmonar (fechas) es un signo que aparece en estos casos, pero también en casos de neumonía grave, neoplasia infiltrativa, hemorragia o tromboembolismo pulmonar.
En un estadio temprano el lóbulo afectado tiene mayor tamaño y con márgenes redondeados por la congestión pasiva que sufre al colapsarse inicialmente la vena pulmonar. En una fase más avanzada el volumen del lóbulo pulmonar disminuye por la necrosis del lóbulo afectado.

En un estadio temprano el lóbulo afectado tiene mayor tamaño y con márgenes redondeados por la congestión pasiva que sufre al colapsarse inicialmente la vena pulmonar. En una fase más avanzada el volumen del lóbulo pulmonar disminuye por la necrosis del lóbulo afectado.
¿Cuál es la mejor técnica diagnóstica en caso de torsión de un lóbulo pulmonar?
c. Resonancia computarizada (TC).