Por Juan Manuel Lajara Larrea*

El estudio del ciclo estral mediante el hisopado vaginal es un procedimiento antiguo pero aún imbatible por costo, practicidad, tiempo y utilidad. De igual forma el hisopado vaginal nos da muchos más alcances respecto al estado del tracto reproductivo pues puede determinar infecciones, inflamación y neoplasia. Se sabe que un estudio vaginal bien realizado no es menos fiable que un dosaje de progesterona. Estoy seguro que muchos tienen preferencias por determinadas pruebas pero desde nuestra columna deseamos que todos los veterinarios de animales menores puedan realizar un examen citológico del ciclo estral sin complicaciones en su propia clínica o consultorio.

Fig.1.1 Secuencia del correcto hisopado de la vagina en las perras. Nótese que el hisopo contacta la pared caudal dorsal de la vagina.
TÉCNICA
Se introduce un hisopo limpio y si es posible estéril en la vagina de la perra asegurándose no tocar la vagina ventral, más bien debe ser orientado hacia la vagina dorsal o caudal. Sobar la zona, retirar el hisopo y rodarlo sobre una lámina portaobjeto nueva y limpia. La técnica de tinción es la misma que para cualquier otra muestra citológica. Algunos prefieren humedecer el hisopo con solución salina para favorecer la adherencia celular y hacer el proceso menos incómodo para el paciente. En mi experiencia cualquier tinción es buena para el estudio, desde las tinciones hematológicas (Diff Quick, Wright), azul de toluidina, azul de metileno, papanicolau, Shorr, H y E, hasta la tinta China.

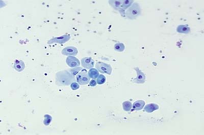
Fig.2 Tipos celulares epiteliales a reconocer durante un hisopado vaginal. Mnemotecnia PISA
TIPOS CELULARES EPITELIALES
No debemos olvidar que para evaluar el ciclo estral debemos evaluar exclusivamente células epiteliales. La presencia de eritrocitos y células inflamatorias son igualmente una gran ayuda. Las células epiteliales a evaluar son:
* Células Basales
* Células Parabasales
* Células Intermedias
* Células Superficiales
Células Basales
Las células Basales son las precursoras de las células parabasales características del periodo de Anestro. Muy rara vez pueden observarse en un estudio citológico. Se aprecian como células casi redondas, pequeñas, uniformes con poco citoplasma basofílico.
Células Parabasales
Las células parabasales son las células más pequeñas que se encuentran de manera rutinaria en un hisopado vaginal. Son de forma redondeada con un núcleo grande y una relación núcleo:citoplasma alta. Son células de tamaño uniforme que se observan en los periodos de proestro temprano, diestro y anestro. Se obtienen muchas sábanas de células en perras que no han llegado a la pubertad, no confundirlas con células neoplásicas.
Células Intermedias
Son células parabasales intermedias con un tamaño mayor (muchas veces el doble) al de las células parabasales. Presentan un aumento en el tamaño del citoplasma más no del núcleo por lo que la relación núcleo:citoplasma baja. El citoplasma puede tornarse de un azul grisáceo pálido con ligeras irregularidades por la keratinización temprana. Éste proceso se hace más evidente a medida que pasa el tiempo y se acerca el periodo estral. También se les conoce como células transicionales o superficiales intermedias.
Células superficiales
Son células grandes con un núcleo pequeño que se ha reducido de tamaño y a medida que siguen madurando lo pierden por completo. El citoplasma es amplio con muchas irregulairdades y dobleces. En su estado más maduro presentan ausencia total de núcleo y es el estadío mas tardío de las células epiteliales vaginales.
Estadíos Citológicos del Ciclo reproductivo de las Perras
* Proestro
* Estro
* Diestro
* Anestro

Fig. 3 Imagen citológica de proestro. Células epiteliales parabasales e intermedias en presencia de eritrocitos y algunos neutrófilos. Las células epiteliales comienzan a formar ángulos a medida que comienza la queratinización.
Proestro
El proestro esta relacionado con un aumento del nivel de estradiol en sangre y la maduración folicular. El epitelio vaginal prolifera y se produce un escape de eritrocitos por diapedesis a través de los capilares tisulares. Todos estos cambios originan una imagen citológica característica del proestro. Los principales componentes celulares son las células parabasales y células intermedias con escasas células superficiales. La presencia de eritrocitos nos brinda una referencia vaga, no es un requisito. El fondo donde descansan las células es de un azul tenue por exceso de mucus. Se observan neutrófilos en cantidad moderada. A medida que va madurando el proestro van disminuyendo los eritrocitos y los neutrófilos con el consiguiente aumento de las células superficiales. Dependiendo del porcentaje de células superficiales podemos segmentar el proestro en proestro temprano, proestro intermedio y proestro tardío. En los pacientes felinos, específicamente en el gato, la única diferencia es la ausencia de eritrocitos y neutrófilos, las bacterias pueden estar presentes.

Fig. 4 Imagen característica de estro. Las células epiteliales superficiales no presentan núcleo, hay presencia de bacterias y algunas células con núcleo picnótico.
Estro
Más del 90% de las células que se exfolian durante el estro son células superficiales y en algunas perras puede llegar al 100%. Los neutrófilos se muestran ausentes (su presencia indica inflamación) y la presencia de eritrocitos es nula con frecuencia aunque se pueden presentar estros con eritrocitos en cantidad moderada. Como se mencionó, las células superficiales son grandes, con núcleo picnótico muy pequeño y en algunos casos ausente en el 100% de las células. El momento de máxima cornificación células es variable. Puede suceder entre el día 06 antes del pico de LH o 03 días después del pico de LH. El estro es el periodo de ovulación y suele ocurrir en los días 1 al 3 después del pico de LH. Se suele encontrar gran número de bacterias sobre las superficies de las células. El en promedio dura 09 días aunque hay reportes de 03 hasta 21 días. Cuando encontramos cambios citológicos compatibles con estro en la perra podemos asumir que es un buen momento para realizar la cruza con el macho. Los felinos poseen un porcentaje menor de células superficiales durante el estro (40%-80%) con un porcentaje de hasta 40% de células superficiales totalmente anucleadas, los eritrocitos son ausentes.

Fig. 5 Diestro. Células epiteliales parabasales e intermedias. Las células presentan bordes más redondeados, núcleo visible, presencia de eritrocitos y células epitelilales con neutrófilos en su interior (células metestrales).
Diestro
Comienza cuando nos percatamos que el número de células superficiales comienza a descender y las células parabasales e intermedias suben hasta un 50% de representatividad. Las células superficiales descienden en más de 20%. Los neutrofilos suelen reaparecer luego de varios días de ausencia, igualmente puede aparecer eritrocitos. El diestro aparece en promedio a los 08 días luego del pico de LH. Es muy difícil diferenciar un PROESTRO de un DIESTRO citológicamente. Se necesitan varias muestras y mucha información respecto del paciente, tamaño de la vulva y percepción macroscópica. Los felinos presentan un diestro con ausencia de eritrocitos, neutrófilos ausentes o en cantidad baja. Los cambios en las células epiteliales son similares en perras y gatas.
Anestro
La imagen citológica del anestro esta conformada por abundantes células parabasales e intermedias. Se pueden observar neutrófilos y bacterias. En la gata los neutrófilos están ausentes, el resto de cambios son similares.
* Juan Manuel Lajara Larrea.
Director del Laboratorio Patológico Veterinario San Isidro. Lima – Perú.
Via: https://laboratoriosanisidro.blogspot.com/