Citología

7 artículos publicados
Especialidad
Tipo de contenido
Más recientes
CITOLOGíA

Desafío Veterinario: Citología

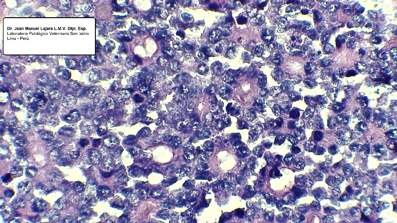
Llega a consulta; una perra chihuahua de 12 años edad, presenta una masa de 3 cm en la región inguinal, con características irregulares, ulceradas y supurativas. La masa ha crecido rápidamente en las últimas dos semanas. A pesar de que sus constantes vitales y análisis de laboratorio son normales, se recomienda realizar un estudio citológico.

Juan Manuel Lajara 28 Ago, 2024 5 min
ACTUALIDAD

Reto Veterinario: Citología

Por Dr. Juan Manuel Lajara Larrea. M.V, Dipl. Esp. Llega a consulta un paciente felino, domestico común, macho castrado de 5 años que responde al…

Juan Manuel Lajara 27 Oct, 2015 2 min