Por: Juan Manuel Lajara L.,

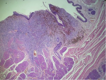
Paciente canino de raza sharpei, macho entero con 09 años de edad. Llega a consulta por una masa perianal. Historias previas de dermatitis, dermatofitosis y melanoma prepucial. Observe con atención las 03 imágenes. Por favor emita su diagnostico marcando una de las opciones que brindamos. Tómese su tiempo y responda!

figura1

Figura 1

figura2

Figura 2

figura3

Figura 3

a) Adenoma perianal o de células hepatoides

b) Carcinoma de saco perianal

c) Absceso perianal

d) Melanoma perianal

e) Papiloma viral