3. RESOLUCIÓN DEL CASO
Luego de la observación inicial de los extendidos citológicos se elabora el plan de diagnósticos diferenciales enfocándonos en los posibles diagnósticos en orden de importancia:
- MASTOCITOMA de alto grado
- CARCINOMA ESCAMOSO poco diferenciado
- ADENOCARCINOMA MAMARIO poco diferenciado
En una cita posterior se entregan los resultados al propietario y se le informa que para el caso del paciente los resultados citológicos no son concluyentes y se requiere un estudio más exhaustivo de la lesión bajo una técnica distinta conocida como Biopsia para estudio Histopatológico. Para esta prueba se procede a realizar un bloqueo anestésico de la zona con lidocaína al 1% sin epinefrina. Una vez insensibilizada la zona se procede a tomar muestra con un Punch (sacabocado) #6 de dos zonas de la lesión:
- 1. Zona cubierta por piel (Foto B 1-3)
- 2. Zona ulcerada (solución de continuidad)

FOTO B-1

FOTO B-2

FOTO B-3
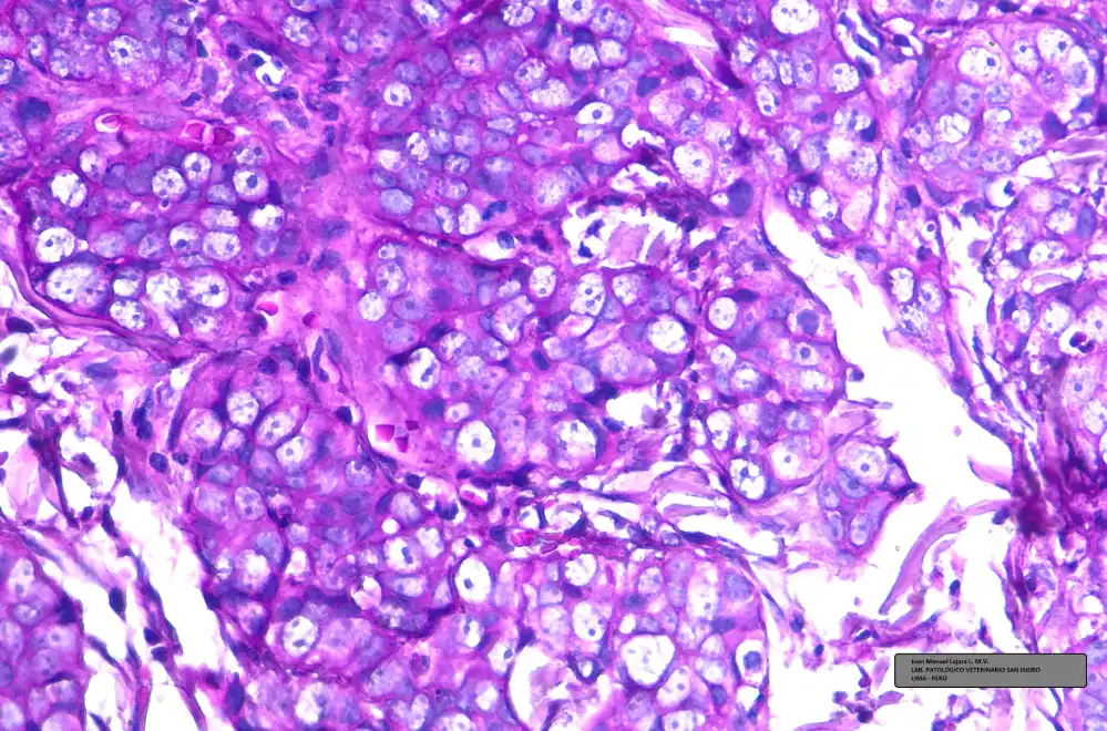
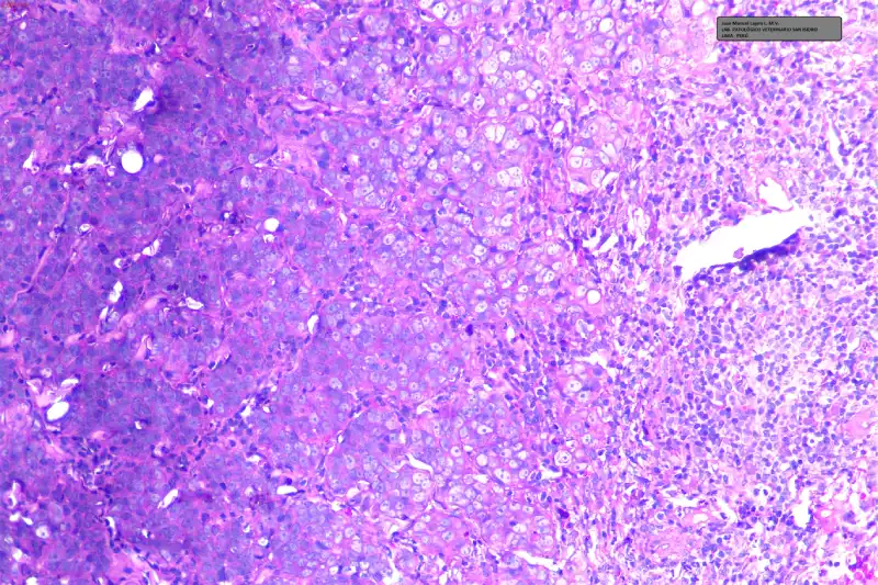
Las muestras para estudio histopatológico fueron coloreadas inicialmente con H-E (Hematoxilina – Eosina) y observadas al microscopio en múltiples aumentos. El resultado histopatológico produjo una inversión en los diferenciales previamente obtenidos por citología con los siguientes resultados:
- 1. ADENOCARCINOMA MAMARIO SÓLIDO Grado III (Alto Grado)
- 2. CARCINOMA DE CÉLULAS ESCAMOSAS (débil)
- 3. MASTOCITOMA (Muy débil)
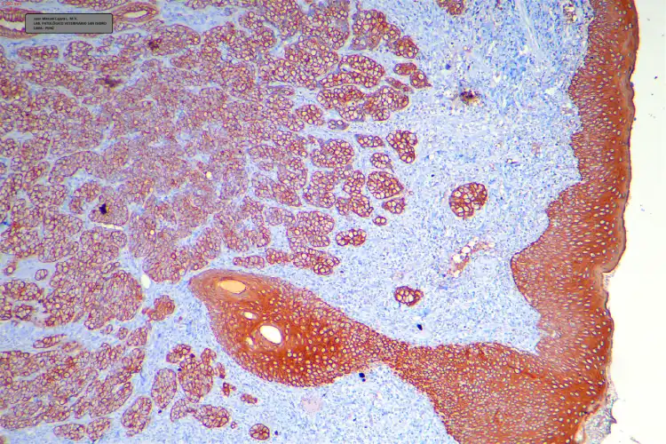
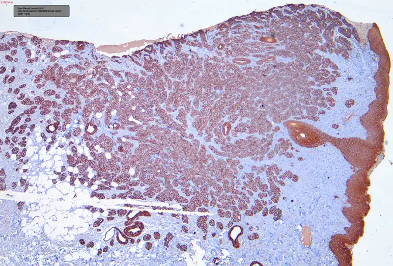
Los resultados fueron conversados con el equipo de la clínica y consultados con el oncólogo veterinario. Se decidió realizar estudios de INMUNOHISTOQUÍMICA confirmatorios para iniciar el tratamiento. Para la confirmación se optó por el marcador de Citoqueratina (CK) el cual brindó una reacción positiva intensa con las células tumorales del tejido (Foto C 1-2)

FOTO C-1

FOTO C-2
4) DIAGNÓSTICO DEFINITIVO
ADENOCARCINOMA MAMARIO SÓLIDO DEL ALTO GRADO (GRADO III)
5) CONCLUSIONES:
Este caso muestra la fortaleza del estudio citológico rápido en posibles casos oncológicos para determinar si una muestra de masa o lesión proviene de un proceso inflamatorio o un proceso neoplásico. La identificación rápida del proceso neoplásico permitió en este caso proceder con las siguientes pruebas para estudios oncológicos.
Un aporte importante del presente caso es conocer las limitaciones de la técnica citológica en algunos tipos de tumores o lesiones. Siempre es importante apoyarse en técnicas complementarias como los estudios de Histopatología e Inmunohistoquímica.